
ნევროლოგიისა და ნეიროფფსიქოლოგიის ინსტიტუტისა და კავკასიის მედიცინის ცენტრის ეფექტური კოლაბორაციულლი ურთიერთთანამშრომლობის საფუძველლზე, 2022 წლის 22 სექტემბერს განხორციელდა ეპილეფსიის კიდევ 2 გეგმიური ნეიროქირურგიული ოპერაცია.
პაციენტების პრე-ქირურგიული დიაგნოსტიკები ჩატარდა ნევროლოგიისა და ნეიროფსიქოლოგიის ინსტიტუტის ეპილეფსიის მონიტორინგის მუულტიდისციპლინური ჯგუფის მიერ, ხოლო ნეიროქქირურგიული ოპერაციები განხორციელდა ერრთობლივად კავკასიის მედიცინის ცენტრისა და გერრმანელი ნეიროქირურგების მიერ.
საქართველოში ეპილეფსიის ქირურგიის დანერგვა და განვითარება მიმდინარეობს ქართულ-გერმანული პროექტის – “EpilepCure” ფარგლებში ქ. ბერლინში მოღვაწე ქარრთველი მეცნიერების, პროფ. თენგიზ გლოველისა და თამარ დუგლაძის თაოსნობით.
პროექტი, რომელიც დაიწყო 2017 წელს და დღემდე გრძელდება, ითვალისწინებდა საქართველოში ეპილეფსიის ქირურგიული მკურნალობის დანერგვასსა და განვითარებას. პროექტი დაფინანსდა გერმანიის განათლებისა და მეცნიერების ფედერრალური სამინისტროს გრანტით [#01DK17026, EpilepCure], ასევე გერმანიის ეკონომიკური თანამშრომლობისა და განვითარების ფედერალუური სამინისტროსა [BMZ] და გერმანნიის საერთაშორისო თანამშრომლობის საზოგადოოების [GIZ] გრანტით [#GIZ:17.2170.3.-004.04, EpilepCure].
პროექტის განხორციელება დაიწყო ნევროლოგიისა და ნეიროფსიქოლოგიის ინსტიტუტისა და კავკასიის მედიცინის ცენტრ ის ბაზაზე; პროექტის ფარგლებში აღნიშნულლი ორგანიზაციებიდან ეპილეფსიის პრე-ქირურგიუული დიაგნოსტიკის, ქირურგიული მკურნნალობისა და პოსტ-ქირურგიული მოვლის კუ თხით გერმანიაში გადამზადდნენ ქართვეელი სპეციალისტები, ცნობილი გერმანელი ეპილეფტოლოგის პროფ. მარტინ ჰოლტკამპისა (შარიტეს უნივერსიტეტის ეპილეფსიის ცენტის დირექქტორი, ბერლინი, გერმანია) და ნეიროქირუურგის – პროფ. ულფ შნაიდერის (ლუცერნისნეირროქირურგიის ინსტიტუტის დირექტორი, ლუცერნი, შვეიცარია), ზედამხედველობით.
აღნიშნული პროექტწბის ფარგლებში საქართველოში დღემდე განხორციელდა 5 ნეიროქირურგიული ოპერაცია, ეფექტური გამოსავლით, რამაც ხელი შეუწყო ეპილეფსიის ქირურგიის შემდგომ განვითარებას ქვეყნის მასშტაბით.
ამ ეტაპზე, ეპილეფსიის ქირურგიული მკურნალობის მიზნით, ნევროლოგიისა და ნეიროფსიქოლოგიის ინსტიტუტში პრექირურგიული კვლევები და დიაგნოსტიკა ჩაუტარდა კიდევ ორ პაციენტს და გერმანელ ექიმებთან ერთად ორივე შემთხვევა მიჩნეულ იქნეა ნეიროქირურგიული ოპერაციის კარგ კანდიდატად.
ნეიროქირურგიული ოპერაციები ჩატარდა კავკასიის მედიცინის ცენტრში, ორივე შემთხვევაში წარმატებით. პაციენტებს არანაირი ნევროლოგიური დეფიციტი არ უვლინდებათ. ისინი უკვე გაეწერენ ბინაზე და იმყოფებიან ნევროლოგიისა და ნეიროფსიქოლოგიის ინსტიტუტის ეპილეფტოლოგების მეთვალყურეობის ქვეშ.
ზემოაღნიშნული პროექტები, გარდა კლინიკური და პრაქტიკული მიმართულებისა, ითვალისწინებს ასევე სამეცნიერო კვლევებს ფუნდამენტური ნეირომეცნიერების მიმართულებით. ამ კუთხით ზემოაღნიშნული მეცნიერებისა და კლინიცისტაბის გარდა, კვლევაში ჩართულები არიან პროფესორი იმრე ვაიდა, პიტერ ბაუერლი და ლინდა ბრენდორფერი (შარიტეს უნივერსიტეტის ნეირომეცნიერების ცენტრის მოლეკულური და ქსელური ფიზიოლოგიის კვლევის ჯგუფიდან).
იხ. აღნიშნული პაციენტების მოკლე მონაცემები
პაციენტი N1
ასაკი – 26 წლის
სქესი – მდედრობითი
მემარჯვენე
ეპილეფსიური გულყრების დაწყების ასაკი – 12 წელი
გულყრების სიხშირე – დრეში 2-3 და მეტი, ფარმაკორეზისტენტული.
ვიდეო-ეეგ – ეპილეფსიური აქტივობა იწყება მარჯვნივ საფეთქლის წინა არეებიდან და ვრცელდება მარცხნივ, საფეთქელში.

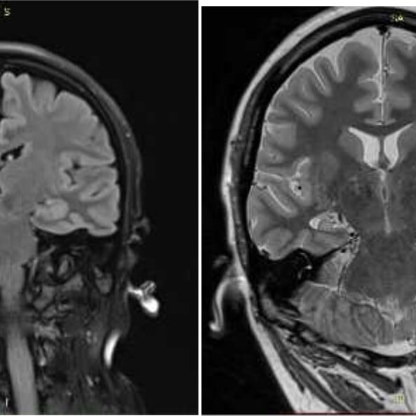
მრგ– მარცხენამხრივი ჰიპოკამპის სკლეროზი

მრგ – ვლინდება ჰიპოკამპის სკლეროზი მარჯვნივ

პაციენტი N 2
ასაკი – 41 წლის,
სქესი მამრობითი,
მემარჯვენე,
ეპილეფსიური გულყრების დაწყების ასაკი – 17 წ.
გულყრების სიხშირე -2-3 შეტევა დღეში, მიჯრით; ფარმაკორეზისტენტული ვიდეო-ეეგ- ეპილეფსიური აქტივობა მარჯვენივ, ტემპორალურ წილში (F8, F10)


მრგ– მარცხენამხრივი ჰიპოკამპის სკლეროზი

T2W-TSE FLAIR-T2

